�����л�ҽԺ  
Ԥ �� �� ��


�� �� �� ��
�������˾����������Σ��粻�������ߣ��뽫����֢״�����顢��顢������ϲ������ϣ�������ͨѶ��ַ���绰���������أ���ӡ���������浽ר���飬��ר���������ƶ������Ʒ������ٷ��������ˡ�ͨ���ʼķ�ʽ�������ơ������п���ʱ��ѯר���顣

����ר���飺
010-80725845 69733109
���ʪ�ǹؽڲ�ר����
010-80725844 80725845
�Ǵ������֯��ר����
010-69733115 69733109
�β�ר���飺
010-69733109 80725845



 

 
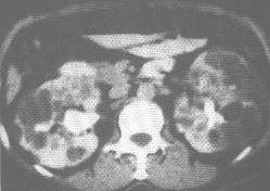
��������Ӱ��ѧ����
���ߣ�����


��������Ӱ��ѧ����

����1.��·��Ӱ����Ӱ������������յ�ձ���벢�쳤��ദ��Ե�⻬�Ļ���ѹ��Ϊ���ͱ��֡�ע��������յ��ѹ��Ϊ�෽��ģ�����������յ���ڶ���������֮��ķ�ӳ�������������Ҫ���塣�������������ؼ���ʱ��������յ����Ӱ������

 
����2.B�����֣���ʾΪ˫�����������ʲ���״�����ڶ����С��һ��Բ��Һ�԰��������Էֲ���ȫ������״Һ�԰����˴˲���ͨΪ����������ˮ��Ҫ��
 
����3.CT���֣�����Ҳ�ܵ��ͣ���������������ʵ���ڲ���������С��һ���ҷ����ܶ���������յ�����ڶ�����֮�䣬������Ϊ�����⣬���Ϊ˫���ԣ�������ס��������ɲ������Ҹλ�����ȡ����ڲ�����ʵ�ʳ���Ӱ������
��
 
��4.MR���֣���϶�����ԭ�������ͬ�������С�����໥��£��������T1��Ȩ���ϳʵ��źţ���T2��Ȩ���ϳʸ��źš�˫���������������γʷ�Ҷ״����״λ����ʾ�������಼���ڶ����ס���������T1��Ȩ��T2��Ȩ���ʸ��źţ�ʾ�����г�Ѫ��
 



Copyright © 2003��2005 �����л�ҽԺ All Rights Reserved.
�ʼ�ͨѶ��ַ�������в�ƽ��ɳ���ʾ�3������ �ʱࣺ102206
��ϵ�绰��010-69733115��010-69733109�����棺010-61742003
E-mail��[email protected]